Д-р Едуард Газдов
📍 Зъбни импланти и цялостна трансформация на усмивката – в София
DMD - MA (HM) - MClinDent
Master of Clinical Dentistry in Fixed and Removable Prosthodontics
(King’s College London)
⭐️⭐️⭐️⭐️⭐️"Искрено препоръчвам Ед Газдов както заради изключително високото качество на клиничната му работа, така и заради увлекателните и интелигентни междуличностни умения. Наистина е рядкост да намериш някой, с когото ще е удоволствие да общуваш, докато той напълно преобразява външния ти вид. Отидох при него по препоръка на съпругата ми и той потвърди, че имам нужда от много сериозна работа за коригиране на силно изпилени зъби. Сега имам блестяща усмивка, устата ми се чувства страхотно и зелена светлина да се наслаждавам отново на храната. Работата беше продължителна, но Ед не спести усилия да ми осигури най-добрия резултат до най-малкия детайл.
Благодаря ти, Ед!"
А. Флеминг
WINNER: Best Young Dentist UK 2020
Експерт в:• Цялостни трансформации на усмивката
• Зъбни импланти
• Коронки в една визита (CEREC)
• Фасети
• Лечение на сложни коренови канали
• Хирургично отстраняване на зъби
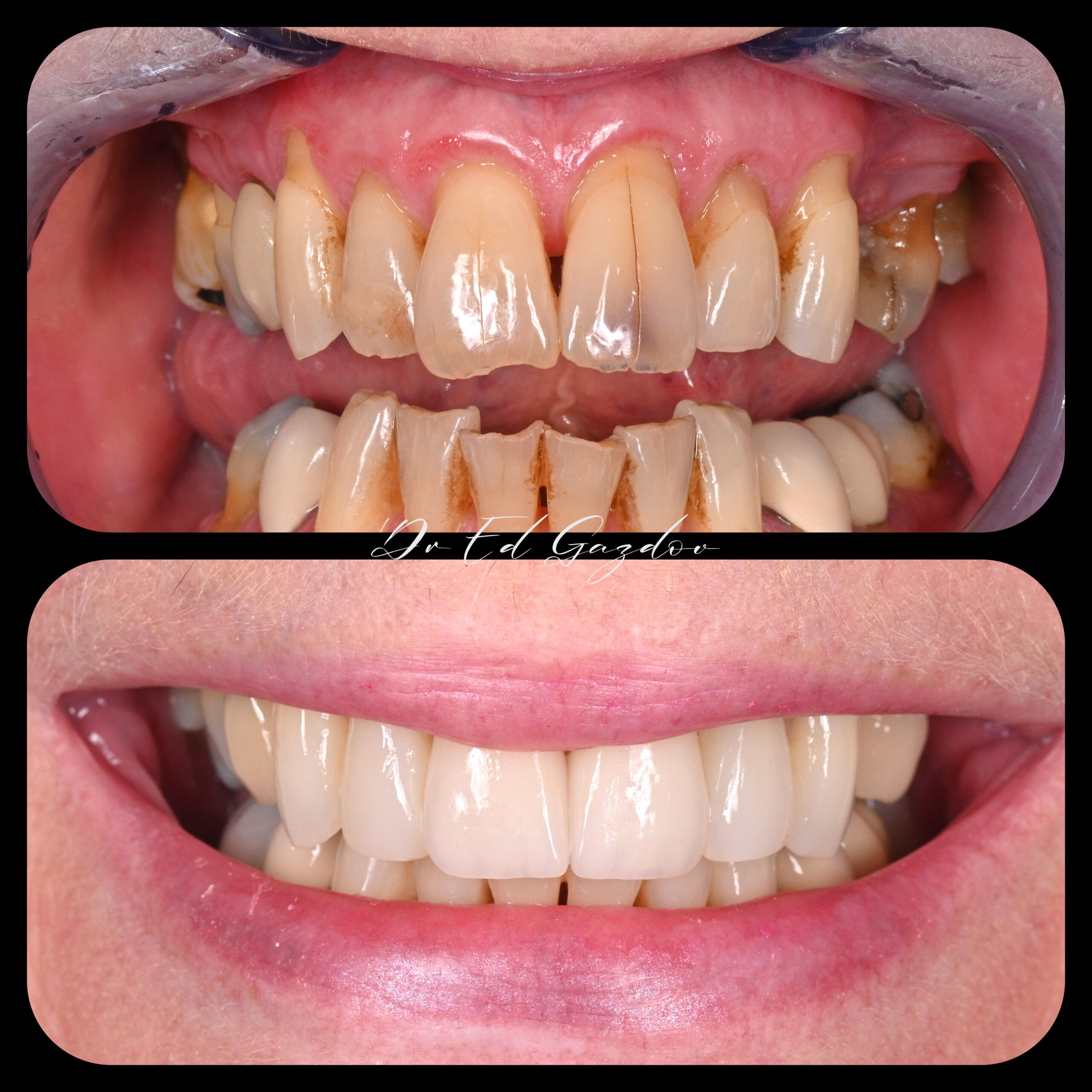
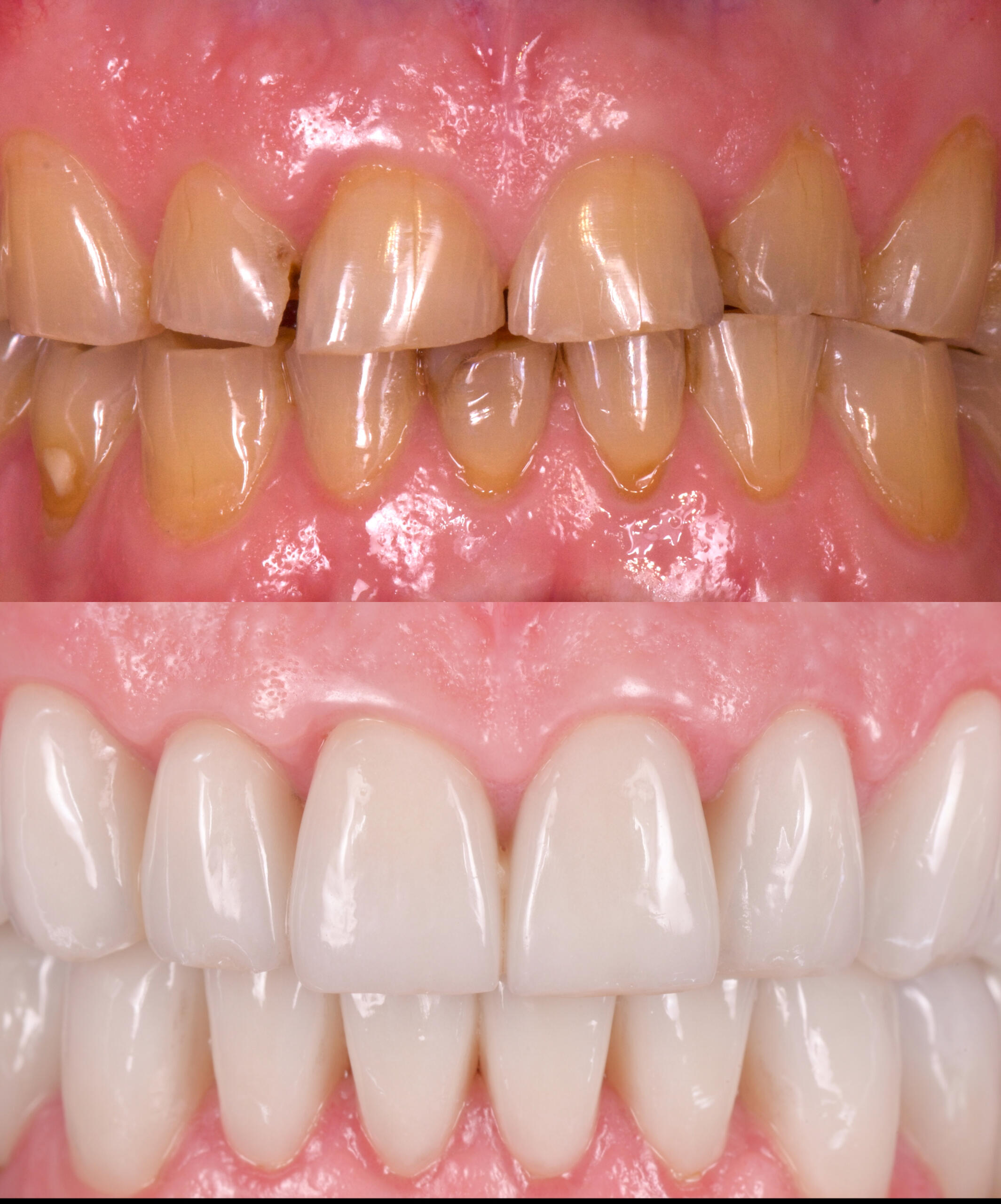
ПРЕДИ И СЛЕД
🦷 Истински резултати. Истински хора.Всяка усмивка, която виждате тук, е реален случай, лекуван лично от Д-р Едуард Газдов – от първия преглед до последната фина настройка.Работим с внимание към детайла, с модерни и щадящи методи, и с лично отношение към всеки пациент. Независимо дали става дума за пълна трансформация, единичен зъб или сложно релечение – подходът ни е прецизен, внимателен и изцяло съобразен с нуждите Ви.⸻🛠️ Какво предлагаме:
• Зъби в същия ден – кореново лечение, изграждане, дигитален дизайн и поставяне на корона в едно посещение
• Импланти с незабавно или навигирано поставяне – според случая и Вашите предпочитания
• Фасети, корони и мостове с минимално изпиляване и естествена визия
• Пълна трансформация на усмивката, планирани дигитално и изпълнени с внимание към естетиката
• Хирургично вадене на зъби, включително в трудни или инфектирани случаи
• Директни фотополимерни възстановявания – бързо и щадящо решение при отчупвания и леки корекции
• CEREC корони и инлеи, изработени и поставени на място, в рамките на часове
• Прелечение на стари канали, корони и мостове, когато нещата не са се получили добре преди⸻Работим под увеличение, използваме кофердам, модерни дигитални технологии и най-висок клас материали. Обясняваме ясно какво правим и защо — за да се чувствате спокойни, уверени и информирани на всяка стъпка от лечението.
Съвременна имплантологична, възстановителна и естетична стоматология
С прецизност във всяка стъпка · Високо технологични решения · Подкрепено с години опит.ж.к. Малинова долина, ул. „проф. Крикор Азарян“ 24, 1734, София, България
+359 888 695 896© 2025 Д-р Едуард Газдов · Създадено с внимание и грижа






























